Teeth Whitening: Safe or Harmful?

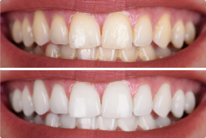
Teeth whitening treatments have become increasingly popular as people seek a brighter smile, but are they safe?
While professional whitening performed by a dentist is generally safe, overuse of at-home whitening products can weaken enamel and cause sensitivity.
Some whitening products contain harsh chemicals that may damage your gums and increase tooth sensitivity over time. It’s important to follow the recommendations of a dental professional to achieve a bright smile without compromising oral health.
Alternative natural whitening methods, such as baking soda or activated charcoal, may provide slight improvements but should be used cautiously. Consulting with a dentist before starting any whitening treatment ensures that you choose the safest and most effective option for your teeth.

Español

